Akciğer Kanseri Metastaz Belirtileri ve Tedavisi
Akciğer kanseri, dünya genelinde en yaygın ve ölümcül kanser türlerinden biridir. Hastalık ilerledikçe metastaz belirtileri ortaya çıkabilir. Bu yazıda, akciğer kanseri metastazının belirtileri, yayılma alanları ve tedavi yöntemleri hakkında bilgi verilmektedir. Erken tanı ve düzenli kontrollerin önemi vurgulanmaktadır.
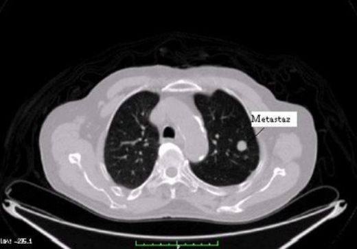
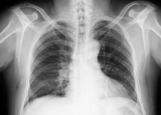
Akciğer Kanseri Metastaz Belirtileri ve Tedavisi Akciğer kanseri, dünya genelinde en sık görülen ve en ölümcül kanser türlerinden biri olup, genellikle erken evrelerinde belirgin semptomlar göstermemektedir. Ancak hastalık ilerledikçe, metastaz (kanserin vücudun diğer bölgelerine yayılması) belirtileri ortaya çıkmaktadır. Bu makalede, akciğer kanseri metastazının belirtileri ve tedavi yöntemleri detaylı bir şekilde ele alınacaktır. Akciğer Kanseri Metastaz Belirtileri Metastaz, akciğer kanserinin ilerlemesi ile birlikte farklı organlara ve dokulara yayılması anlamına gelir. Bu süreçte gözlemlenen bazı belirtiler şunlardır:
Metastazın Yayılma Alanları Akciğer kanseri, vücudun farklı bölgelerine metastaz yapabilir. Bu alanlar arasında:
Akciğer Kanseri Metastaz Tedavisi Akciğer kanseri metastazının tedavisi, hastalığın evresine, metastazın yerleşim yerine ve hastanın genel sağlık durumuna bağlı olarak değişiklik göstermektedir. Tedavi yöntemleri arasında:
Sonuç Akciğer kanseri metastazı, hastalığın ilerlemesiyle birlikte önemli sağlık sorunlarına yol açabilir. Belirtilerin farkında olmak ve erken tanı için düzenli kontroller yaptırmak, tedavi şansını artırmaktadır. Tedavi seçenekleri hastanın durumu ve metastazın yayılım alanına göre değişiklik göstermektedir. Her hastanın durumu benzersizdir ve tedavi planı, uzman hekimler tarafından bireysel olarak belirlenmelidir. Ekstra Bilgiler Bu makale, akciğer kanseri metastaz belirtileri ve tedavisi hakkında genel bir bakış sunmakta olup, her bireyin durumu için özel bir tedavi planı oluşturulması gerektiğini vurgulamaktadır. |











Akciğer kanseri metastazının belirtileri genellikle geç mi ortaya çıkıyor? Özellikle hangi organlara yayıldığında farklı belirtiler gözlemleniyor? Beyine metastaz yaptığında neden şiddetli baş ağrıları ve hafıza karışıklıkları yaşanıyor?
Merhaba Nedve,
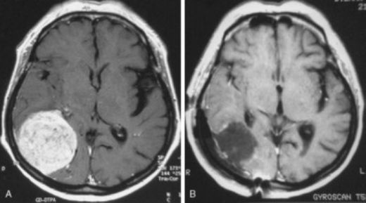
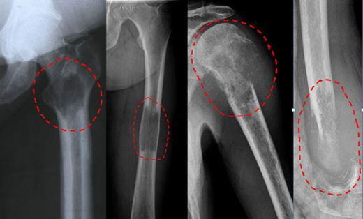
Akciğer kanserinin metastaz yapması maalesef genellikle geç fark ediliyor. Metastazın belirtileri, kanserin yayıldığı organlara bağlı olarak değişebilir. Örneğin, karaciğere yayıldığında sarılık, karın ağrısı ve kilo kaybı gibi belirtiler ortaya çıkabilir. Kemiklere metastaz yaptığında ise kemik ağrıları ve kırılma riskinde artış görülür.
Beyine metastaz yaptığında şiddetli baş ağrıları ve hafıza karışıklıkları yaşanmasının nedeni, beyindeki artmış basıncın ve beyin dokusuna olan hasarın bu tür belirtilere yol açmasıdır. Beyin dokusu hassas olduğu için, metastazlar burada ciddi belirtiler yaratabilir. Bu nedenle, bu tür belirtiler görüldüğünde hemen bir doktora başvurmak önemlidir.